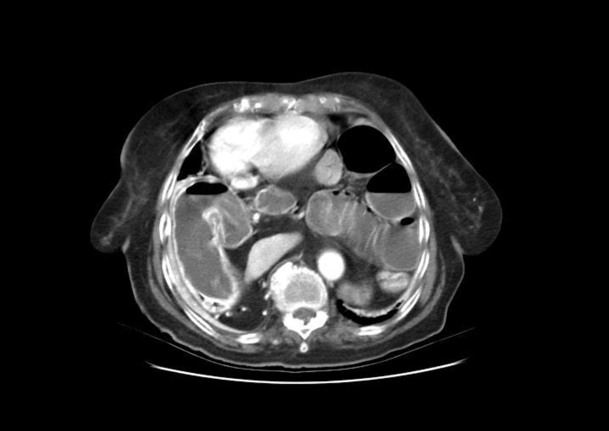
La verdad es que este caso es muy difícil de describir y etiquetar, por ello admito todo tipo de comentarios y críticas al respecto. Después de darle muchas vueltas al caso y repasar bastante bibliografía, creo que realmente la paciente padece un cuadro complejo de volvulación crónica gástrica de tipo mixto (quizás con predominio organoaxial), donde el pólipo situado en la zona teórica del antro ejerece un efecto valvular que dificulta la salida gástrica y podría ser responsable de parte de los síntomas de intolerancia alimenticia que padece la enferma. Y digo esto último porque es curioso que hasta que acudió a urgencias con dolor abdominal subagudo, y el cuadro de malnutrición nunca había tenido síntomas de este tipo previamente.
COMENTARIOS:
Los vólvulos gástricos tal y como los conocemos (formas agudas) son entidades muy poco frecuentes que constituyen una urgencia quirúrgica en la mayoría de los casos. Existen 2 tipos según se produzca una rotación de la víscera en su eje mayor (rotación organoaxial) o en el menor (mesentéricoaxial). No obstante, las formas incompletas con una rotación < 180º son bastante mas frecuentes de lo que se piensa y pueden manifestarse con síntomas inespecíficos como nauseas, vómitos y dolor epigástrico. También tienen una mayor predisposición a la volvulación aguda. Algunos autores denominan estas formas vólvulos crónicos, aunque otros simplemente las llaman posiciones anómalas organoaxiales o mesentérico axiales. Las formas mixtas no son excepcionales. El tipo mas común de vólvulo es el organoaxial que en los pacientes > 65 años está en muchas ocasiones asociadas a hernias hiatales, sobre todo paraesofágicas. La causa de la volvulación parece estar relacionada con la laxitud de las estructuras de fijación de la cámara gástrica en el abdomen. El tratamiento de las formas agudas, sobre todo si hay estrangulación e isquemia con riesgo de perforación es la cirugía por vía laparoscópica. No obstante hay descritos casos en la literatura de desvolvulaciones endoscópicas que permiten (como en el colon) una cirugía electiva en mejores condiciones clínicas.




5 comentarios
Un caso muy interesante, ya nos contaras como acaba. Creo que un EGD puede servir para definir muy bien la anatomía de estos casos, que endoscópicamente a veces son muy difíciles de interpretar. Le quitaste el pólipo?, aunque me da la impresión de que probablemenete contribuya poco a los síntomas de la enferma…
Pués seguramente no, Pedro, pero valorando el riesgo/beneficio yo se lo voya a quitar. No perdemos nada. Lo definitivo sería la pexia y reducción de la hernia por laparoscopia. El problema es que además la paciente teien una malrotación intestinal.
A eso seguro, yo también se lo quitaba, que no se pierde nada y si mejora algo pues eso que se gana. Estoy intentando hacer un HALO a una enferma de mi hospital, ya te contaré como sale la cosa si nos deja su compañía…
Un abrazo
Pues me parece muy interesante esa técnica. A ver si tienes suerte.
Un abrazo igualmente
CASOS ENDOSCÓPICOS (VIDEOS) – digestivendoscopy