CASO CLÍNICO:
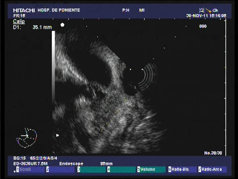
Paciente varón de 60 años de edad, sin antecedentes de interés que presenta dese hace un par de meses pérdida de peso importante (10 kgr), molestias epigástricas vagas junto a coluria e ictericia progresiva. Analíticamente destaca una BRT de 16 mgr/dl, a expensas de la fracción directa (8.21 mgr/dl), con ligera hipertransaminemia (GOT 68 UI/L, GPT 74 UI/L), GGT 1115 UI/L, FAT 558 UI/L e hiperlipemia mixta. El Ca 19.9 se encontraba a unos niveles de 242 UI/dl. Se practica una ecografía abdominal con el hallazgo de una masa en la cabeza pancreática de 3 x 2.7 cm, hipoecoica e irregular que obstruye el colédoco (dilatación retrógrada de unos 11 mm) junto a dilatación de la vía biliar intrahepática, vesícula dilatada (Courvoisier) sin adenopatias evidentes. El TAC trifásico realizado unos días después confirmando la existencia de la masa descrita a nivel de la cabeza pancreática (3 cm), que contacta con la pared duodenal, pero no infiltra la vena porta ni la VMS. Múltiples adenopatías de entre 5 y 1 cm adyacentes al tronco celíaco y peripancreáticas. Él colédoco y la vía biliar intrahepática se encuentran muy dilatadas, así como la vesícula biliar y el conducto pancreático. Con el diagnóstico de posible adenocarcinoma pancreático T3-N1-M0, se realiza una USE radial en nuestro centro, donde además de lo ya observado (la masa no obstante es de mayor tamaño 3.5 x 4 cm) en las anteriores pruebas diagnósticas, se confirma la infiltración de la VP y la confluencia con la VMS. El tronco celíaco y la AMS están libres de afectación tumoral. También se observaro varias adenopatías en el TC y peripancreáticas. Dado los niveles de BRT se decide colocar una prótesis biliar completamente recubierta por CPRE como drenaje biliar. Finalmente, para la confirmación histológica de la neoplasia, se realiza una USE-PAAF. El análisis citopatológico confirma la presencia de células malignas, aunque no se especifica la extirpe (quizás por la poca experiencia que aún se tiene en el estudio citológico).
COMENTARIOS:
El adenocarcinoma de páncreas es una neoplasia con muy mal pronóstico, incluso en los casos potencialmente resecables. Hoy día en el protocolo diagnóstico, además de la ecografía y TAC abdominal, se realiza una ecoendoscopia para valorar la afectación de las estructuras vasculares vecinas (sobre todo venosas) y completar el estadiaje tumoral. El sistema mas utilizado es el «American Joint Committe on Cancer 2003 TNM Clasification for Pancreatic Cancer». Según éste. el caso presentado sería un T3-N1-M0 (estadio IIB). En esta clasificación, la irresecabilidad viene marcada por la presencia de la invasión vascular de la AMS y el TC y sus ramas (como la arteria gastroduodenal), pero la realidad demuestra que en la mayor parte de los casos, el tamaño tumoral > 3 cm, la invasión de la pared duodenal y la infiltración portal-VMS conjuntamente también suelen implicar irresecabilidad cuando se realiza la laparotomía. Por otro lado, la USE aunque valora muy bien la invasión de la VP (S: 80 %) y vasos esplénicos, falla algo mas en el análisis de invasión tumoral de la VMS (resultados de S variables según las series, del 17-80 %) y AMS (S: 17 %). Es difícil visualizar todo el recorrido de estos vasos por ecoendoscopia ante la presencia de un tumor de gran tamaño en el proceso uncinado o de la porción inferior del páncreas. Quizás el TAC trifásico es superior (incluso RMN) para valorar estos vasos. La conclusión final es que hay que hacer ambas técnicas en el estudio de extensión. Otra cuestión controvertida es realizar o no PAAF por ecoendoscopia en todos los casos (algunos hospitales los restringen a los pacientes irresecables por el temor a la diseminación de las células malignas el el trayecto de la punción). Muchos centros la hacen de forma rutinaria como en nuestro caso. Y por último, otra cuestión es si aquellos pacientes con ictericia obstructiva con neoplasias de páncreas potencialmente resecables, se benefician de un drenaje biliar por CPRE. Los últimos estudios sugieren que aquellos enfermos con cifras de BRT > 15 mgr /dl deberían ser drenados porque los resultados en cuanto a morbi-mortalidad quirúrgica son mejores.
Para concluir, otra de las razones por las que he puesto esta entrada es la disponibilidad que ya tenemos en nuestro centro de todas las técnicas necesarias para el manejo diagnóstico de esta patología (ECO, TAC, RMN, CPRE y USE-PAAF).




2 comentarios
Buen trabajo!!!!
Gracias. Es la representación en un caso de mucho esfuerzo por conseguir todas estas cosas. Siempre en beneficio de los pacientes en primer lugar y de los profesionales en 2º.