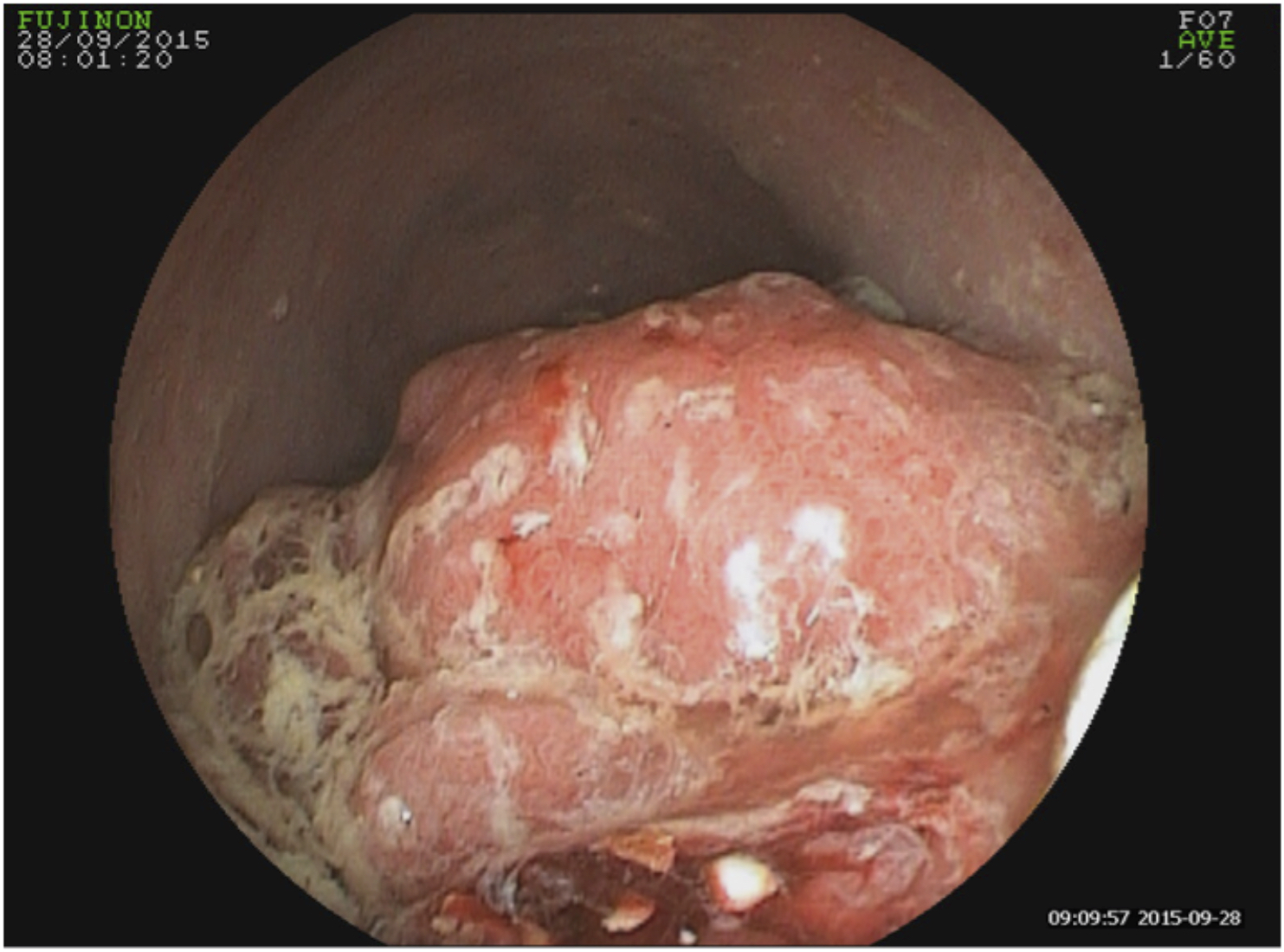
Se presenta el caso de una disección submucosa de una lesión rectal con morfología 0-Is de unos 5-6 cm de tamaño realizada por el Dr. Katsumi Yamamoto (Departmentof Gastroenterology, Japan Community Healthcare Organization Osaka Hospital) El material básico usado fue:
- Bisturí flushknife 1.5 mm BT.
- Disector SB-Junior
- Coagraspper FD 410LR
- Cesta de recuperación Twister Plus
Se trata de un excelente ejemplo para conocer regladamente la técnica de la disección endoscópica submucosa (DSE). Para mi es una referencia. Espero que sirva de ayuda a aquellos que quieren iniciarse en esta atractiva y resolutiva técnica endoscópica.




No hay comentarios