CASO CLÍNICO:
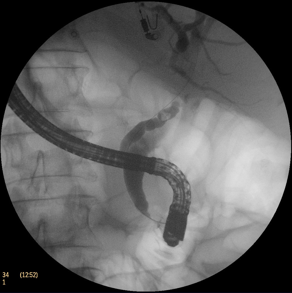
Paciente de 60 años de edad con antecedentes de Situs inversus completo, HTA con FA asociada en tratamiento con Sintrom. Ingresa por el segundo episodio (en 2 meses) de pancreatitis aguda biliar sin criterios de gravedad, apreciándose en la ecografía una vesícula escleroatrófica con dilatación de la vía biliar (hasta 13 mm) e imágenes compatibles con coledocolitiasis de pequeño tamaño en colédoco distal. No se realiza CPRM confirmatoria por padecer claustrofobia. Se decide hacer una CPRE para extracción de las coledocolitasis en posición de decúbito supino con intubación orotraqueal (ITO). La intervención resulta mas difícil de lo habitual por encontrarse la papila en posición opuesta a la normal, con dificultad en el movimiento hacia la derecha del mando L/R del duodenoscopio, que inducía la entrada repetida de la guía en el conducto pancreático. De hecho, dicho conducto tomaba una dirección opuesta a la normal (es decir, hacia las 11 h), mientras que el conducto biliar lo hacía hacia la posición contraria (13 h). Finalmente, tras colocar un stent en páncreas, se realizó una pequeña esfinterotomía de aguja que permitió la canulación biliar y la extracción de las coledocolitiasis con balón de fogarty a 12 mm.
COMENTARIOS:
El situs inversus es una anomalía congénita poco frecuente (1:100000 nacimientos) que puede ser parcial o completa. En este último caso, todos los órganos impares se encuentran en lado opuesto (dextrocardia, hígado en hipocondrio izquierdo, etc). Estos individuos tienen una tendencia a malformaciones orgánicas del corazón, grandes vasos y síndrome de Kartagener. Por la alteración anatómica descrita, muchas intervenciones quirúrgicas o instrumentales son mas difíciles de realizar. La CPRE no podía ser menos. El duodenoscopio está diseñado para la posición diestra de la papila, consiguiendo el enfrentamiento correcto con las angulaciones de los mandos U/D y L/R que se pueden realizar normalmente. En los casos de situs inversus completo con la papila y el hígado a la izquierda, si el paciente se coloca en las posiciones habituales (decúbito lateral izquierdo, prono o supino), la CPRE es mas difícil porque la papila se coloca a la derecha y el movimiento en este sentido no tiene la amplitud habitual. Por ello, es necesario apurar la rotación del endoscopio en sentido de las agujas de reloj, usar un papilotomo rotatorio como los autotome de Boston, o bien realizar un precorte que redirija el corte hacia las 12-13 horarias. Hay algún artículo que recomienda realizar la CPRE en decúbito lateral derecho (posición en espejo) para tener toda la movilidad requerida de los mandos en la canulación. Por cierto es el segundo caso realizado con la capturadora médica MediCap USB200 (esa pequeña joya).



2 comentarios
It is not my first time to visit this website, i am browsing this website dailly and
take good information from here daily.
Hi to every body, it’s my first pay a quick visit of this website; this web site carries remarkable and actually good data in favor of visitors.