Coledocolitasis de 22 mm: extracción con DASE (balón 20 mm) + litotricia mecánica (F. Gallardo y F.J. Gallego)

mayo 20, 2013

CASO CLÍNICO:

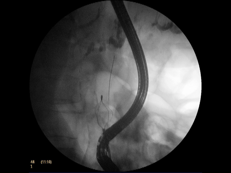
Paciente mujer de 82 años de edad con antecedentes de DM tipo II en tratamiento con insulina y síndrome de bradi-taquiarrtimia (portadora de marcapasos). Ingresa en el hospital por una fractura de cadera que se interviene quirurgicamente. Tras la intervención se practica un control analítico donde se aprecia una elevación de la GGT (519 UI/l) asintomática. La ecografía subsiguiente refleja una importante dilatación de la vía biliar (intra y extrahepática), con un colédoco de 22 mm, en cuyo interior se observa una coledocolitiasis de gran tamaño (22 mm), así como una colelitiasis en el contexto de una vesícula escleroatrófica. Se decide realizar CPRE para extracción de la coledocolitiasis. la canulación es sencilla, observando en la colangiografía una marcada dilatación de la vía biliar extrahepática (> 20 mm) con varias coledocolitiasis, dos de ellas de gran tamaño (unos 22 mm). Destaca el afilamiento distal del colédoco y la morfología cuboidea asimétrica de las litiasis de mayor tamaño. Con estos tres datos: gran tamaño de la CD, afilamiento distal del colédoco y morfología de las litiasis (cuboideas con eje mayor no alineado al colédoco), la extracción estándar con papilotomía y uso de balones o cestas parecía inviable. Había que usar una técnica alternativa (esfinteroplastia con balón CRE de gran tamaño, superando los 18 mm) quizás combinada con la litotricia mecánica. De forma sistemática, esto fue lo que hicimos con éxito.

COMENTARIOS:

La coledodolitiasis continúa siendo la indicación mas común en la CPRE. En muchos casos sigue siendo un reto para el endoscopista biliar, especialmente si son de gran tamaño, morfología asimétrica, de composición dura y el colédoco distal está afilado. En estos casos, hasta hace unos 6-7 años, se usaba exclusivamente la litotricia mecánica, la cirugía o en pacientes añosos y plurupatológicos, el empleo permamente (con recambios periódicos) de prótesis plásticas. Ultimamente se está realizando la esfienteroplastia del esfinter biliar con balones CRE de gran tamaño (hasta 20 mm), según el calibre del colédoco y el tamaño de la vía biliar (técnica DASE). No obstante, aún así, en muchos casos es imposible su extracción incluso con la dilatación y hay que complementarla con la litotricia mecánica (EML) alcanzando una tasa de éxitos del 95 %. En el otro 5 % de los casos muy rebeldes hay que usar técnicas como la litotricia electrohidraúlica (EHL) o por láser (LL) mediante colangioscopia o gastroscopios ultrafinos. 

Un comentario

Deja una respuesta

Tu dirección de correo electrónico no será publicada. Los campos obligatorios están marcados con *

TRANSLATE