Colangiocarcinoma extrahepático distal: diagnóstico por ecoendoscopia, CPRE y colangioscopia (Spyglass)

junio 29, 2011
 
 
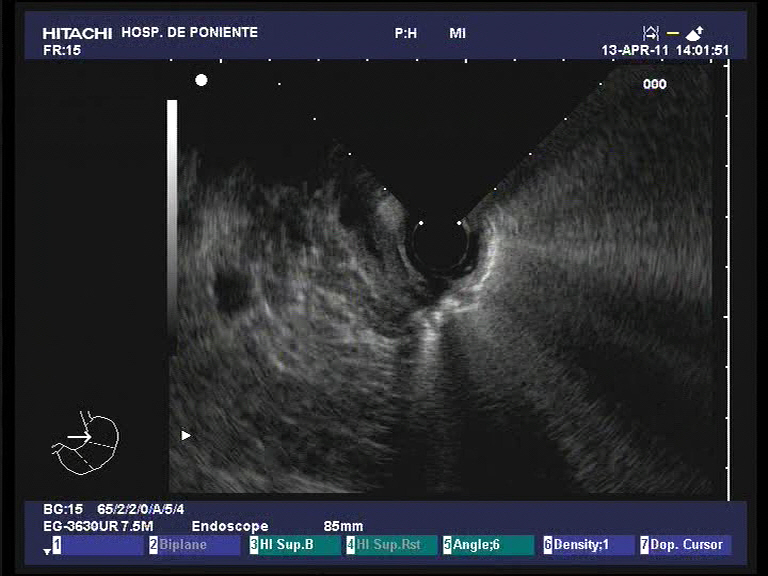
Las estenosis indeterminadas biliares, como se ha comentado en otros casos publicados en este blog, constituyen un reto diagnóstico para el gastroenterologo biliopancreático. En ocasiones, incluso realizando todos los métodos de imagen a nuestro alcance (ECO, TAC, USE, CPRM, CPRE..) el diagnóstico sigue sin aclararse. Ultimamente disponemos de una herramienta más que nos puede ayudar a solventar dicho problema. Se trata de la colangioscopia Spyglass. Con este método complementario de la CPRE de un solo operador, podemos obtener imágenes muy sugerentes de malignidad y sobre todo tomar biopsias dirigidas de las lesiones. Se presenta el caso de un paciente de 72 años al que tras realizarle una ecoendoscopia radial y una CPRE con colangioscopia, se llega a esta conclusión diagnóstica. Desgraciadamente esta técnica, en estenosis distales de la vía biliar (como nuestro caso) es dificil de manejar cuando se usa el forceps de biopsias (Spybite) y en el caso de este paciente, no fueron del todo dirigidas, por lo que el resultado histológico fue inespecífico. No obstante, cuando uno se encuentra con imágenes tan sugerentes, la correlación con los hallazgos de la pieza quirúrgica son bastante altos.
 
 

No hay comentarios

Deja una respuesta

Tu dirección de correo electrónico no será publicada. Los campos obligatorios están marcados con *

TRANSLATE